Chevy Chase, MD · Full Arch Implants

Walk in with
failing teeth.
Walk out with a new smile.

Same-day full arch implants in Chevy Chase — xNav guided surgery, in-house milling, one doctor start to finish.

276+ five-star Google reviews
One doctor start to finish
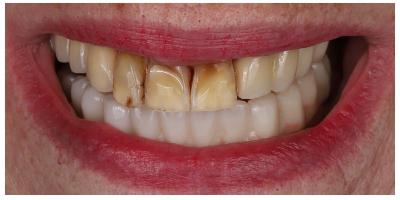
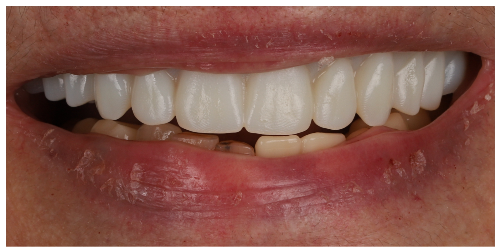
Full arch implant result — patient smile
CASE 01 Placed & delivered by Dr. Jay
You're not alone

If you've been hiding your smile, avoiding photos, or turning down meals you used to love — I get it. Failing teeth don't just hurt; the embarrassment and the maze of options is exhausting. My job isn't to sell you on something. It's to tell you, plainly, what your mouth actually needs.

Dr. Jay Siddiqui
Dr. Jay Siddiqui Owner, Radiant Dental Care
Why Radiant vs. volume clinics

The difference is what you don't see on a billboard.

01

One doctor, start to finish

Dr. Jay plans your case, performs the surgery, and delivers your final arch personally. No assembly-line handoffs, no rotating specialists you've never met.

02

xNav computer-guided surgery

Your implant positions are planned from a 3D CBCT scan and placed with real-time navigation — not freehand. Millimeter-accurate, predictable outcomes.

03

In-house 3D printing & milling

Our own lab designs and mills your arch on-site. No outside lab, no weeks of waiting, no middleman markup passed to you.

04

Same-day temps — you don't leave toothless

You walk in, have surgery, and walk out the same day with a working set of teeth. Your permanent zirconia arch follows once you're healed.

Meet your doctor

Hear it from Dr. Jay — no sales pitch.

A short walk-through of what a full arch case actually looks like at Radiant, in his own words.

Dr. Jay explaining the full arch procedure
Intro · Dr. Jay Siddiqui
The process

Four steps. Zero guesswork.

  1. 1

    Free consultation

    Sit down with Dr. Jay — not a treatment coordinator. You'll leave with a written plan and your exact price, no pressure to book anything.

    45–60 min Complimentary
  2. 2

    3D CBCT scan & planning

    We map your bone, nerves, and every implant position on a 3D scan before we touch anything. The surgery is rehearsed digitally first.

    Same visit In-house
  3. 3

    Same-day surgery & temps

    xNav-guided implant placement, immediately followed by a set of functional temporary teeth. You'll eat dinner with teeth the night of surgery.

    One visit Local anesthesia
  4. 4

    Permanent zirconia arch

    Once you're healed (typically 3–4 months), we deliver your final zirconia arch — milled in our lab, fitted by Dr. Jay.

    3–4 months In-house lab
The technology, in plain English

What makes same-day full arch actually possible.

X-Guide / xNav navigation system
Navigation

xNav / X-Guide surgery

Think GPS for implant placement. Dr. Jay sees the exact angle and depth of each implant in real time as he places it, guided by your 3D scan. Freehand placement is a coin flip; this is repeatable.

In-house CAD/CAM mill and 3D printer
In-house lab

3D printing & zirconia milling

Our own 3D printer and 5-axis mill sit down the hall from the surgical suite. Your temps print overnight; your final arch mills in hours — not weeks at an outside lab.

Intraoral scanner wand
Digital impressions

Intraoral scanning

No goop, no gag reflex. A digital wand captures your mouth in 60 seconds and feeds it straight to our design software — so the arch that comes out of the mill actually fits the mouth it's meant for.

Dr. Jay Siddiqui planning a case
6 yrs placing implants
Meet Dr. Siddiqui

The doctor behind every case.

Dr. Jay Siddiqui has built Radiant Dental Care around a simple idea: full arch patients deserve the same doctor, the same lab, and the same standard of care from consultation through final delivery. With six years of focused implant experience, he invested in xNav guided surgery and in-house milling so his patients wouldn't have to travel or wait, and personally treats every full arch case the practice takes on.

  • DDS, University of Maryland School of Dentistry
  • Advanced training in full arch & guided implant surgery
  • American Academy of Implant Dentistry (AAID)
  • 5.0★ across 276+ Google reviews
"Dr. Jay walked me through my options without a single upsell. Six months later I'm eating steak again. I should have done this ten years ago."
★★★★★ — Patricia M., Google review
"He did every step himself. I never got passed around. When my temps needed an adjustment he saw me the same afternoon."
★★★★★ — Robert K., Google review
In their own words

Hear from Dr. Jay's patients.

Three real Radiant patients, on what changed after their full arch.

Patient testimonial
Patient story · 1
Patient testimonial
Patient story · 2
Patient testimonial
Patient story · 3
Pricing, transparent

Full arch from $18,995.
That's the price. Not a bait rate.

Many full arch clinics advertise a low number and quote you $30,000–$50,000 once you walk in. We show you the whole number at your free consultation — and it's usually about half of what you've been quoted elsewhere.

Radiant Dental
$18,995per arch, all in
vs.
Volume clinics
$30–50kper arch, typical

We'll give you your exact number at your free consultation, after a CBCT and a real look at your case. No generic over-the-phone quotes, no surprise add-ons on surgery day.

Honest answers

What patients actually ask us.

If there's a question you don't see here, ask it at your consultation. No question is too blunt.

Request Your Free Consultation
Am I a candidate if I've already been told I need bone grafting?

Usually, yes. Most patients who've been turned down elsewhere are candidates at Radiant, because xNav-guided placement and modern implant angulation (like zygomatic or tilted implants) can often avoid major grafting altogether. Bring your previous scans to your consultation — we'll tell you straight.

Does it hurt? What does recovery actually feel like?

Surgery itself is done under local anesthesia with optional IV sedation — most patients sleep through it. The first 2–3 days feel like a bad dental visit (soreness, some swelling); most people are back to work in 3–5 days and eating soft foods immediately. We'll give you a detailed recovery timeline at your consultation.

How long do the implants last?

Implants themselves are titanium and routinely last decades with normal hygiene. The zirconia arch that sits on top is extremely durable — and if anything goes wrong from normal use, Dr. Jay stands behind his work and will make it right.

What if I don't have insurance?

Dental insurance rarely covers full arch meaningfully, so most of our patients self-pay. We partner with Cherry for monthly payment plans (most approved in minutes, $0 down options), and we'll walk through all options at your consultation.

Why is Radiant less expensive than other full arch clinics?

Two reasons: we don't send your arch to an outside lab (so no middleman markup), and we don't have the ad spend or franchise overhead of a national chain. The quality is higher, not lower — same implant brands, better planning, one doctor through the whole case.

What happens at the free consultation — is it really no obligation?

Yes. You'll meet Dr. Jay (not a sales coordinator), get a limited exam, discuss your goals, and — if you want — a same-day CBCT. You leave with a written plan and your exact price. Zero pressure to book anything. A lot of patients take a few weeks to decide; that's normal.

Book your free consultation

Your new smile starts with one phone call.

Sit down with Dr. Jay, walk through your case, and leave with a written plan and your exact price. No pressure, no obligation.

  • 45–60 minutes, complimentary
  • Meet Dr. Jay — not a coordinator
  • Written plan & exact price to take home
  • Same-day CBCT scan available
Prefer to call? (301) 652-2222

Powered by mysmileconsult.co · Secure & private · Free cancellation 24h+

Call Free Consultation